Библиотека
Вся правда про фтор, фторид и фторирование
Фтор - его так часто рекламируют в СМИ и так хвалят, мы покупаем зубные пасты и обязательно смотрим что бы там присутствовал этот элемент, потому что так сказали по телевизору, чистим зубы, им же воду в бассейнах и т.д. НО..... мало кто знает какой вред и урон это для нашего здоровья и какие болезни вызывает этот казалось бы "безобидный" и уж очень "необходимый" для нас ФТОР.. Что такое фтор и фторид?Фторид (Fluoride) - это ион фтора. Все органические и неорганические соединения, содержащие фтор - это и есть фториды, речь о которых пойдет в этой статье. Фтор - это газ, и в природе он находится чаще всего в соединениях с другими веществами, например как фтористый кальций (CaF) или фтористый натрий (NaF). Фторид - природный элемент, который входит в состав земной коры. Поэтому естественно, что небольшая доза фторида (значительно меньше 1 миллионной доли) содержится в природной воде. Растения, естественно, поглощают фториды из земли и воды, таким образом, небольшое количество фторидов присутствует во всей нашей пище и в воде, а также накапливается в тканях животных и в растениях.
Несмотря на то, что фторид - природное вещество, он является токсичным для человека, гораздо большим токсином, чем свинец. Инъекция 2-5 грамм фторида натрия (стандартный компонент в зубной пасте) - смертельная доза. Количество фторида в одном тюбике зубной пасты среднего размера достаточно для того, чтобы убить маленького ребенка, если использовать весь тюбик за один раз. Зубная паста с фтором содержит гораздо более высокую концентрацию фторида по сравнению с содержанием фторида в природе.
Изначально фтор стали добавлять в воду, поскольку считалось, что фтор чрезвычайно полезен для здоровья зубов и предотвращает кариес. А уже затем и в зубную пасту. В некоторых странах, таких как США, фторируется около 2/3 всей природной воды.
Из справочника химических веществ о фторе:
Sodium Fluoride (фторид натрия) - синтетический компонент в виде белых кристаллов. Применяется для ухода за полостью рта, как антибактериальное средство. Активная часть молекулы - ион фторида. Фториды уменьшают возможность бактерий для производства кислот, а также, реминерализируют области зуба, которые подверглись влиянию кислот, вырабатываемых бактериями. Помечен знаком «Опасно».
Фторид натрия - очень опасен, может привести к смертельному исходу, если его вдохнуть или проглотить. Первые симптомы отравления - тошнота, рвота, понос и слабость. Позднее - поражение центральной нервной и сердечнососудистой системы, смерть.
Из справочника химических веществ о фторе:
Sodium Fluoride (фторид натрия) - синтетический компонент в виде белых кристаллов. Применяется для ухода за полостью рта, как антибактериальное средство. Активная часть молекулы - ион фторида. Фториды уменьшают возможность бактерий для производства кислот, а также, реминерализируют области зуба, которые подверглись влиянию кислот, вырабатываемых бактериями. Помечен знаком «Опасно».
Фторид натрия - очень опасен, может привести к смертельному исходу, если его вдохнуть или проглотить. Первые симптомы отравления - тошнота, рвота, понос и слабость. Позднее - поражение центральной нервной и сердечнососудистой системы, смерть.
Поражает дыхательную систему, сердце, кости, кровеносную систему, центральную нервную систему и почки. Вызывает раздражение кожи, глаз и дыхательных путей. Раздражение может наступить не сразу.
При вдыхании, вызывает сильнейшее раздражение дыхательных путей. Симптомы - кашель, боли в горле, затруднённое дыхание. Раздражение может наступить не сразу.
При вдыхании, вызывает сильнейшее раздражение дыхательных путей. Симптомы - кашель, боли в горле, затруднённое дыхание. Раздражение может наступить не сразу.
При приёме вовнутрь токсичен! Может вызвать слюнотечение, тошноту, рвоту, понос и боли в желудке. Слабость, дрожь, затруднённое дыхание, сердечный приступ, конвульсии и кому. Может поразить мозг и почки, сердечно-сосудистую систему. Смерть может наступить в результате паралича дыхательных путей. Примерная смертельная доза - 5-10 граммов.
При контакте с кожей, вызывает раздражение, покраснение, боль. Растворы - разъедающие. Последствия могут появиться не сразу.
При контакте с глазами - раздражение и серьёзное повреждение глаз. Последствия могут появиться не сразу.
Постоянное воздействие фторида натрия может вызвать крапчатость зубов, повредить кости (остеосклероз) и флюорозис. Симптомами последнего являются хрупкие кости, потеря веса, анемия, отвердение (известкование) связок, ухудшение общего состояния, негибкость суставов.
Особенно подвержены влиянию фторида натрия люди, страдающие диабетом и почечной недостаточностью.
Как действует фторид при борьбе с кариесом?
Считается, что фтор является токсичным для бактерии. Бактерии, как и все живые формы, тоже питаются, и в качестве пищи используют сахар (глюкозу, сахарозу, фруктозу, лактозу или пищевые крахмалы) и отходы жизнедеятельности бактерий которые способны растворить эмаль зуба и есть те самые кислоты, которые вызывают деминерализацию зуба или кариес. Фтор отравляет бактерию, снижая ее способность перерабатывать сахар. К сожалению, фторид настолько ядовит, что при использовании отравляются не только бактерии, но и другие клетки.
Болезни, вызываемые фтором
Фторид может доставить серьезные проблемы здоровью даже при употреблении в малых дозах, которые имеются в зубной пасте или фторированной воде.
Флюороз - хроническая интоксикация фтором. Бывает двух видов: зубной и скелетный.
Есть также более чем 30 исследований животных, которые говорят о том, что фторид - это нейротоксин, который уменьшает когнитивные способности (изучения языка, речи, мыслительная способность) и память. По сути, фторид делает человека более глупым.
Есть еще много проблем для здоровья, связанных с фтором, если вы не боитесь страшных названий и знаете английский, список болезней можно почитать здесь: http://www.holisticmed.com/fluoride/
Большинство информации было обнародовано лишь в последние 10 лет, до этого она была строго засекречена.
Почему люди начинали добавлять фторид в зубную пасту и воду?
Как всегда, в этой истории замешаны большие деньги и политика. История создания мифа о полезности фтора описана в книге «Фтор - большой обман» (Fluoride Deception), изданной известным журналистом и продюсером BBC Кристофером Брайсоном, которая имеет в основе десятилетнее исследование фактов и слухов на тему фторидов. В этой книге Брайсон рассказывает о самых значимых личностях и научных заведениях, которые сыграли большую роль в том, что фториды сейчас используются для профилактики зубных болезней в США и в мире.
При контакте с кожей, вызывает раздражение, покраснение, боль. Растворы - разъедающие. Последствия могут появиться не сразу.
При контакте с глазами - раздражение и серьёзное повреждение глаз. Последствия могут появиться не сразу.
Постоянное воздействие фторида натрия может вызвать крапчатость зубов, повредить кости (остеосклероз) и флюорозис. Симптомами последнего являются хрупкие кости, потеря веса, анемия, отвердение (известкование) связок, ухудшение общего состояния, негибкость суставов.
Особенно подвержены влиянию фторида натрия люди, страдающие диабетом и почечной недостаточностью.
Как действует фторид при борьбе с кариесом?
Считается, что фтор является токсичным для бактерии. Бактерии, как и все живые формы, тоже питаются, и в качестве пищи используют сахар (глюкозу, сахарозу, фруктозу, лактозу или пищевые крахмалы) и отходы жизнедеятельности бактерий которые способны растворить эмаль зуба и есть те самые кислоты, которые вызывают деминерализацию зуба или кариес. Фтор отравляет бактерию, снижая ее способность перерабатывать сахар. К сожалению, фторид настолько ядовит, что при использовании отравляются не только бактерии, но и другие клетки.Болезни, вызываемые фтором
Фторид может доставить серьезные проблемы здоровью даже при употреблении в малых дозах, которые имеются в зубной пасте или фторированной воде.Флюороз - хроническая интоксикация фтором. Бывает двух видов: зубной и скелетный.
Есть также более чем 30 исследований животных, которые говорят о том, что фторид - это нейротоксин, который уменьшает когнитивные способности (изучения языка, речи, мыслительная способность) и память. По сути, фторид делает человека более глупым.
Есть еще много проблем для здоровья, связанных с фтором, если вы не боитесь страшных названий и знаете английский, список болезней можно почитать здесь: http://www.holisticmed.com/fluoride/
Большинство информации было обнародовано лишь в последние 10 лет, до этого она была строго засекречена.
Почему люди начинали добавлять фторид в зубную пасту и воду?
Как всегда, в этой истории замешаны большие деньги и политика. История создания мифа о полезности фтора описана в книге «Фтор - большой обман» (Fluoride Deception), изданной известным журналистом и продюсером BBC Кристофером Брайсоном, которая имеет в основе десятилетнее исследование фактов и слухов на тему фторидов. В этой книге Брайсон рассказывает о самых значимых личностях и научных заведениях, которые сыграли большую роль в том, что фториды сейчас используются для профилактики зубных болезней в США и в мире.Защитники теории фторизации говорят о том, что в отношении фтора есть два разных вопроса, непересекающихся между собой. Первый связан с тем, что фториды являются промышленным отходом при производстве металла, а второй вопрос касается полезности фтора для средств зубной гигиены. Это неправда, поскольку обе эти две сюжетные линии плотно переплетаются с самого начала.
Итак, о начале истории. Первое заявление о том, что фториды полезны для здоровья зубов и о том, что они должны добавляться в питьевую воду с целью профилактики зубных болезней, было сделано неким исследователем Доктором Джеральдом Коксом из Института Мелон в г. Питсбург. Кокс начал исследование фтора по предложению Франциса Фрери, директора исследовательской лаборатории Американской Алюминиевой Компании, который, что очевидно, был очень озабочен большой проблемой загрязнения воздуха и природы в окрестностях, прилегающих к алюминиевым заводам, и негативного влияния фторидов на здоровье работников завода.
Нужно понимать, что Институт Мелон служил главным защитником для всех крупных компаний металлоперерабатываюбщей индустрии, поэтому абсолютно нет никой случайности в том, что такое предложение прозвучало именно от исследователя этого института.
В то время, в период с 1956-1968 г, по вреду, причиненному здоровью одним фтором, в суд поступало исков больше, чем по остальным 20 (!) загрязняющим веществам вместе взятым. Определенно существовала острая нужда в том, чтобы как-то защититься от такого огромного количества судебных исков, и для этого совсем неплохо было бы иметь теорию, основанную на реальных исследованиях, проповедовавшую то, что фториды полезны для здоровья.
Ещё одним защитником фторизации был Гарольд Ходж - один из наиболее влиятельных и высокопоставленных медиков и исследователей. Этот человек пользовался непререкаемым авторитетом среди власть имущих в области здравоохранения и выпустил не одну работу в поддержку программы фторизации воды, внедрение которой рассматривалось в 1957 году.
Теперь известно, что Ходж был одним из организаторов эксперимента по исследованию влияния радиации на здоровье людей, которым делали прививки плутония. Какая связь? Прямая. Он работал главным токсикологом в «Манхеттонском» проекте. Целью этого проекта была разработка атомной бомбы, которую в последствии сбросили на Херосиму и Нагасаки. Ходж исследовал токсичность всех химических реактивов, которые использовались при производстве атомной бомбы и фториды были главной проблемой, т.к. при создании бомбы они использовались в невероятных количествах.
В документах, которые обнаружил автор книги Брайсон, было четко написано, что Ходжу дается задание предоставить информацию, которая могла бы помочь правительству и армии защититься от судебных исков, связанных с причинением вреда здоровью. И напротив, вся информация, которая может использоваться против армии - должна быть удалена.
Если бы было признано, что фторизация воды вредна, все организации, работающие с фтором, включая Комиссию по Ядерной Энергетике, правительство и армию США, подверглись бы бесчисленным судебным искам. Другими словами, не было не единого шанса того, что Гарольд Ходж подставил бы такие влиятельные организации.
Одновременно с Ходжем, известный медик и промоутер теории фторизации, Доктор Кихоу опубликовал большую научную работу о благоприятном влиянии фторидов. Эта работа была спонсирована следующими организациями:
Аллюминиевая Компанния Америки (ALCOA), Аллюминиевая Компанния Канады, Институт исследования ГСМ Америки, Дюпонт, Кайзер Алюминиум, Рейнольдс Металс, Юнайтед Стил, Национальным Институтом Исследований в Области Стоматологии (НИИОС).
Аллюминиевая Компанния Америки (ALCOA), Аллюминиевая Компанния Канады, Институт исследования ГСМ Америки, Дюпонт, Кайзер Алюминиум, Рейнольдс Металс, Юнайтед Стил, Национальным Институтом Исследований в Области Стоматологии (НИИОС).
В личных файлах Кихоу можно найти ссылки сотрудничество с Комитетом Легальности Фторидов, которым Кихоу предоставлял материалы для защиты корпоративных клиентов (список выше) от исков, связанных с фторидами.
В добавок ко всему, продать фтор всей нации помог не кто иной, как отец ПиАр - Эдвард Бернейз, племянник Зигмунда Фрейда, который был настоящим злым гением и профессионалом в области создания привлекательного имиджа для вредных продуктов. Брат Оскара Юинга, Эдвард Л. Бернайс, был хорошим психологом, он был племянником Зигмунда Фрейда. Эдвард вел исследования по управлению разумом человека, а точнее общества. Он даже издал книгу под названием «Пропаганда», кроме популяризации фторирования, Бернайс участвовал в пропаганде сигарет. Бернейз был приглашен НИИОС для помощи в проведении ПиАр компании по «продаже» фтора нации. Их план состоял в убеждении врачей дантистов в том, что фтор полезен для зубов, а затем уже стоматологи сами «продадут» фтор всем остальным.
На протяжении десятилетий, польза фтора пропагандировалась среди населения, начиная со школьной скамьи. Ученых, которые заявляли, что вместо пользы фтор оказывает на организм человека сильное негативное воздействие, увольняли, преследовали, осмеивали в прессе. Только в последнее время некоторые ученые смогли опубликовать результаты исследований, говорящих о вреде фторида натрия при применении даже в разрешенных стандартами дозах.
Не трудно догадаться, что пасты, которые были наиболее широко разрекламированы («Colgate», «Blend-a-med», «Aquafresh» и т. д.) имеют в себе наибольшее содержание фтора. Люди стали покупать эти зубные пасты не потому что их польза доказана, а потому что многократно повторенная ложь (в виде рекламы) стала восприниматься многими людьми как правда. Для широкого продвижения фтора в массы был использован этот психологический приём.
Что же теперь делать?
Для начала вы должны взглянуть на этот вопрос «открытыми глазами» (неплохо было бы подключить и мозг) и принять собственное сознательное решение. Здравый смысл подсказывает, что не следует принимать (тем более регулярно) какое-либо вещество, если вы полностью не понимаете, что оно из себя представляет.
Мое мнение таково, что если даже есть небольшое подозрение в том, что фториды могут быть вредны - нет смысла их использовать. В данном случае огромное количество материалов убеждает в том, что лучше от него отказаться.
Что же теперь делать?
Для начала вы должны взглянуть на этот вопрос «открытыми глазами» (неплохо было бы подключить и мозг) и принять собственное сознательное решение. Здравый смысл подсказывает, что не следует принимать (тем более регулярно) какое-либо вещество, если вы полностью не понимаете, что оно из себя представляет.Мое мнение таково, что если даже есть небольшое подозрение в том, что фториды могут быть вредны - нет смысла их использовать. В данном случае огромное количество материалов убеждает в том, что лучше от него отказаться.
Кроме того, вот что советуют стоматологи для «бесфторной» профилактики кариеса:
Чем меньше белого искусственного сахара содержится в пище, которую вы едите, или чем реже вы едите пищу, богатую белым сахаром, или чем меньше времени вы позволите пищевому сахару оставаться в вашем рту - тем меньше будет и количество кислоты, которую вырабатывают бактерии.
Чем меньше белого искусственного сахара содержится в пище, которую вы едите, или чем реже вы едите пищу, богатую белым сахаром, или чем меньше времени вы позволите пищевому сахару оставаться в вашем рту - тем меньше будет и количество кислоты, которую вырабатывают бактерии.
Лучше употреблять не белый сахар, а мед. Или ещё лучше - сахар употреблять только в составе цельных продуктов - фруктов, сухофруктов, орехов. А в качестве сладкой приправы можно использовать корицу, куркуму и т. п. Опасайтесь использовать генетически модифицированный подсластитель аспартам. Он ещё более вреден, чем белый сахар.
Рекомендуется сократить время, в течение которого сахар находится в вашем рту. После приема богатой сахаром пищи почистите зубы щеткой и нитью, или, по крайней мере, прополощите рот.
Очень вредно рассасывать во рту сладости и употреблять сладкие напитки в течение долгого времени. Если же всё-таки приходится пить сладкую воду (к примеру, медовый напиток), то после него следует скорее почистить зубы.
Рекомендуется часто и тщательно чистить зубы нитью и щеткой.
Рекомендуется чистить зубы нитью и щеткой после каждого приема пищи - даже в небольших количествах. Рекомендуется тратить на уход за зубами немного больше времени - их важно вычистить как можно тщательнее. В тех областях, до которых вы не доберетесь щеткой или нитью, с наибольшей вероятностью образуются полости.
Страны, которые остановили, отклонили или запретили фторирование воды: Австрия, Бельгия, Китай, Чехия, Дания, Финляндия, Франция, Германия, Венгрия, Индия, Израиль, Япония, Люксембург, Голландия, Сев. Ирландия, Норвегия, Шотландия, Швеция, Швейцария.
Фтор вреден для шишковидной железы
Американским Фармацевтическим Министерством (ФДА) фторид натрия зарегистрирован как крысиный яд!
До 1990 года не проводились тесты по влиянию фтора на шишковидную железу.Шишковиднаяжелеза или эпифиз - это маленькая железка, расположенная между двумя мозговыми полушариями.
Очень вредно рассасывать во рту сладости и употреблять сладкие напитки в течение долгого времени. Если же всё-таки приходится пить сладкую воду (к примеру, медовый напиток), то после него следует скорее почистить зубы.
Рекомендуется часто и тщательно чистить зубы нитью и щеткой.
Рекомендуется чистить зубы нитью и щеткой после каждого приема пищи - даже в небольших количествах. Рекомендуется тратить на уход за зубами немного больше времени - их важно вычистить как можно тщательнее. В тех областях, до которых вы не доберетесь щеткой или нитью, с наибольшей вероятностью образуются полости.
Страны, которые остановили, отклонили или запретили фторирование воды: Австрия, Бельгия, Китай, Чехия, Дания, Финляндия, Франция, Германия, Венгрия, Индия, Израиль, Япония, Люксембург, Голландия, Сев. Ирландия, Норвегия, Шотландия, Швеция, Швейцария.
Фтор вреден для шишковидной железы
Американским Фармацевтическим Министерством (ФДА) фторид натрия зарегистрирован как крысиный яд!До 1990 года не проводились тесты по влиянию фтора на шишковидную железу.Шишковиднаяжелеза или эпифиз - это маленькая железка, расположенная между двумя мозговыми полушариями.
Древние философы, а также Святые Востока считали, что шишковидная железа является местом обитания Души. Эпифиз является центральной точкой взаимодействия между правым и левым полушариями мозга. Это центр всего, что мы осуществляем между духовным и физическим планом. Пробуждение, или активация, этой клетки позволяет вернуться к оптимальному здоровью на всех уровнях.
Шишковидная железа регулирует выделение мелатонина - гормона «молодости», который помогает регулировать достижение половой и духовной зрелости. В свою очередь, мелатонин вырабатывается шишковидной железой из серотонина - вещества, явно связанного с высшей мыслительной функцией человека. Видимо, не случайно просветление сознания требует активизации шишковидной железы; дерево Бо, под которым сидел Будда, было богато серотонином.
Но что не менее важно, так это то, что шишковидная железа отвечает за иммунитет, она при правильной работе защищает тело от вредоносных эффектов, которые свободные радикалы оказывают на мозг.
Одним из инициаторов этого исследования была врач Дженифер Люк из Университета Surrey в Англии. Она доказала, что шишковидная железа первая попадает под удар фтора. Также, согласно исследованию, избыточное количество этого элемента на уровне шишковидной железы приводит к серьезным дисфункциям, провоцируя раннее половое созревание и уменьшая способность организма бороться со свободными радикалами.
Фтор может спровоцировать генетическое изменение плода во время беременности, увеличивая риск заболевания раком. Ряд исследований показали, что фтор способен вызвать костный рак.
Самое плохое заключается в том, что на это почти никто не обращает внимания. Подумайте, что случилось бы с промышленностью, если бы широко опубликовали исследования о том, что фтор - токсичен!
Наиболее значительное влияние соединения фтора оказывают на щитовидку. Фтор, как и Йод, является галогеном. Со школы мы знаем «Правило замещения галогенов», в котором говорится, что любой галоген с меньшим атомным весом замещает в соединениях галогены с большим атомным весом, в пределах своей группы. Как известно из таблицы Менделеева, Йод имеет больший атомный вес, чем Фтор. Он заменяет йод в усвояемых соединениях, тем самым вызывая его дефицит. Хлор, который широко используется для очистки воды, обладает темижесвойствами, однако он менее активен, чем фтор в химическом плане.
По данным исследований «смелых» ученых, случаи заболеваний щитовидной железы стали увеличиваться именно с начала пропаганды пользы «фтора». Щитовидная железа управляет в организме многими процессами обмена веществ, нарушения ее работы могут иметь серьезные последствия для человека, среди которых полнота - далеко не самый страшный. После популяризации фтора в США, население стало усиленно полнеть, взаимосвязь между этими процессами также прослежена учеными отступниками.
Нейтрализацию шишковидной железы чисто теоретически можно провести путем очень сильного воздействия фтора на нее. Фтор может разрушить кости, зубы и эту самую шишковидную железу. Он ее словно бетонирует.
Среди последствий длительного применения фтора встречаются: рак, генетические нарушения ДНК, ожирение, понижение IQ, летаргия, болезнь Альцгеймера и несколько других.
Среди последствий длительного применения фтора встречаются: рак, генетические нарушения ДНК, ожирение, понижение IQ, летаргия, болезнь Альцгеймера и несколько других.
Если кто не знает, фтор содержится практически во всех зубных пастах. И если кто не помнит, то по рекомендациям врачей зубы нужно чистить два раза в день. Кстати, утверждают, что именно фтор использовался для массового контроля сознания в Германии и Советском Союзе в середине XX века.
Но влияние на щитовидную железу - не самый страшный вред, который может нанести фтор. Этот элемент активно вступает в реакцию с алюминием, который до сих пор широко используется в изготовлении кухонной утвари. Реагируя, фтор и алюминий образуют фторид алюминия, который способен преодолевать гематоэнцефалический барьер. Гематоэнцефалический барьер служит защитой для мозга, проникая через него, фторид алюминия откладывается в нервных клетках. Последствия влияния фторида алюминия на мозг могут быть катастрофическими, он способен вызвать слабоумие, широкий ряд нервных и психических расстройств. Согласно тем же запретным исследованиям, с момента популяризации фтора число случаев болезни Альцгеймера значительно увеличились. Неудивительно, что США, где фторирование применяется особо широко, является одним из лидеров по заболеваемости этим недугом.
Чем опасен переизбыток фтора?
Все большими вопросами обрастает добавление фтора в муниципальные воды, как и прочие методы его использования. Синтетические соединения фтора добавляются в муниципальные воды в некоторых странах (не в России), а также используются в напитках, пищевых и гигиенических продуктах, в частности, зубных пастах. Следующие соединения используются наиболее часто: фторокремниевая кислота (fluorosilicate acid), фторосиликат натрия (sodium silicofluoride) и фторид натрия (sodium fluoride). Эти соединения являются продуктами отхода ядерной, алюминиевой и, наиболее часто, фосфатной промышленности (удобрения).
Чем опасен переизбыток фтора?
Все большими вопросами обрастает добавление фтора в муниципальные воды, как и прочие методы его использования. Синтетические соединения фтора добавляются в муниципальные воды в некоторых странах (не в России), а также используются в напитках, пищевых и гигиенических продуктах, в частности, зубных пастах. Следующие соединения используются наиболее часто: фторокремниевая кислота (fluorosilicate acid), фторосиликат натрия (sodium silicofluoride) и фторид натрия (sodium fluoride). Эти соединения являются продуктами отхода ядерной, алюминиевой и, наиболее часто, фосфатной промышленности (удобрения).Фтор не выводится быстро из организма, а накапливается в костях и зубах. Недавно также было обнаружено, что он накапливается еще более интенсивно в шишковидной железе, находящейся в середине мозга. Последствия зубного флуорозиса, приносящего серьезный ущерб зубам при ежедневном применении фтор-содержащей пасты уже были задокументированы. Тем не менее, официально продолжается пропаганда использования фтора в целях профилактики кариеса. Тот факт, что фтор может приносить больше вреда, чем пользы, продолжает игнорироваться.
Длительное ежедневное применение фтора в виде фторида натрия также было связано со следующими нарушениями здоровья:
- рак;
- генетические нарушения на уровне ДНК;
- нарушения функции щитовидной железы, с дальнейшими последствиями для всей эндокринной системы, включая ожирение;
- нейрология: понижение IQ, неспособность сфокусироваться, усталость, летаргия;
- болезнь Альцгеймера;
- нарушения в деятельности мелатонина (гормона шишковидной железы), понижающая антираковую защиту, нарушения сна;
- кальцификация и блокировка шишковидной железы.
Начало использования фтора связано с его применением для очистки урана в 1940-х годах. Также существуют утверждения, что фтор использовался для массового контроля над сознанием и послушностью масс в нацистской Германии, Советском Союзе и США.
Длительное ежедневное применение фтора в виде фторида натрия также было связано со следующими нарушениями здоровья:
- рак;
- генетические нарушения на уровне ДНК;
- нарушения функции щитовидной железы, с дальнейшими последствиями для всей эндокринной системы, включая ожирение;
- нейрология: понижение IQ, неспособность сфокусироваться, усталость, летаргия;
- болезнь Альцгеймера;
- нарушения в деятельности мелатонина (гормона шишковидной железы), понижающая антираковую защиту, нарушения сна;
- кальцификация и блокировка шишковидной железы.
Начало использования фтора связано с его применением для очистки урана в 1940-х годах. Также существуют утверждения, что фтор использовался для массового контроля над сознанием и послушностью масс в нацистской Германии, Советском Союзе и США.
Важно помнить, что кипячение воды только увеличивает в ней содержание фтора. Технология обратного осмоса (reverse osmosis) достаточно доступна и прекрасно работает для очистки воды от фтора. Аппараты, использующие эту технологию для очистки воды, можно найти в различных общественных местах или, при желании и наличии средств, установить дома.
Как выбрать зубную пасту
Согласно д-ру Р.Картону, бывшему учёному ЕРА, «Фторирование это величайший научный обман нашего века, если не всей истории«. Большинство исследований указывают на серьёзную опасность фтора для здоровья: он может быть причиной недомоганий, врождённых дефектов и преждевременной смерти.
Как выбрать зубную пасту
Согласно д-ру Р.Картону, бывшему учёному ЕРА, «Фторирование это величайший научный обман нашего века, если не всей истории«. Большинство исследований указывают на серьёзную опасность фтора для здоровья: он может быть причиной недомоганий, врождённых дефектов и преждевременной смерти.Дин Берк, бывший химик Национального Института рака США утверждает, что «фторирование вызывает больше смертей от рака, чем другие химические вещества».
Д-р А.Е. Банник в своей книге «Выбор чистота», утверждает: «Фторирование питьевой воды преступно, крайне ненаучно, это химическая война. Фтор не только не укрепляет зубы, от него также отвердевают артерии и мозг». Фтор получают промыванием воздушной эмиссии фтора от расплавленных металлов или удобряемых фосфатами растений.
В 40-х годах, когда впервые предположили пользу фтора для профилактики разрушения зубов, алюминеплавильная промышленность убедила правительство добавлять фтор в воду удобный и экономичный путь избавиться от токсических отходов. Интересно отметить, что те исследования, на которых базировалось применение фтора для профилактики кариеса, позже выявились несостоятельными, возможно, фальсифицированными. Напротив, как показывает большинство исследований, ни фторированная вода, ни фторированные зубные пасты не уменьшают распад зубов.
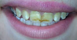
Сегодня люди глотают огромное количество фтора из множества источников. Фтор не только в зубных пастах, но и в воде, напитках, соках, во всех продуктах, приготовленных с фторированной водой. Зубной флюороз, отравления фтором, характеризуется испещрением и размягчением зубной эмали. У 60% детей обнаружены эти симптомы. Не пользуйтесь зубными пастами с фтором. Гораздо лучше пасты с прополисом, миррой, пищевой содой или маслом чайного дерева.
Д-р Дж. Йамуяннис в своей книге «Фтор фактор старения» пишет: «С таким союзником, как правда, легко победить. Правда в том, что фторирование хронически отравляет миллионы». Этот выдающийся биохимик был редактором по биохимии Chemical Abstracts Service величайшего мирового химического информационного центра. Когда он начал сомневаться в безопасности фторирования, его попросили замолчать: под угрозой оказались миллионы долларов федеральных вложений. В течении нескольких недель его вынудили уйти в отставку.
Особенностью хорошей зубной пасты является ультратонкий порошок двуокиси кремния, который прекрасно помогает удалить пятна с зубов, а также полирует зубы, не нарушая эмали. Выбор за вами.


